袁老先生患有冠心病多年,曾因急性心肌梗死分别于2017年和2018年各植入一枚冠状动脉支架,术后情况良好。可是,近一周来,袁老先生再次出现了胸闷、胸痛、轻微活动后气短等不适症状,到河北省第八人民医院(河北省老年病医院)心内二科就诊。心内二科专家为老人完善相关检查,并与首都医科大学附属北京安贞医院专家远程会诊,诊断为“急性冠脉综合征”,建议其行冠脉介入治疗,考虑到袁老先生冠状动脉血管复杂病变可能性较大,遂预约北京安贞医院心血管内科专家张新勇来院共同手术。


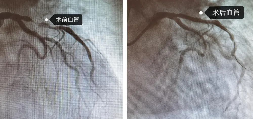
5月27日,张新勇如约而至,与心内二科专家一起为袁老先生进行了冠状动脉介入治疗。术中冠状动脉造影检查显示,袁老先生左侧冠脉血管前降支近段可见弥漫性狭窄,最严重的可达99%,经过认真评估后,顺利为其行冠脉支架植入术。术后,袁老先生胸闷、胸痛及活动后气短等不适症状消失,老人和家属对治疗效果十分满意。
借力京津冀医疗卫生协同发展,河北省第八人民医院(河北省老年病医院)与首都医科大学附属北京安贞医院建立协作关系,两院心血管内科团队密切合作,北京专家定期来院出诊,开展冠脉造影、冠状动脉介入手术等技术协作,让患者在家门口享受国内高水平专家的诊疗服务,免去外地就医舟车劳顿,诊疗费用大大降低。
河北省第八人民医院(河北省老年病医院)心内二科拥有专业的介入诊疗技术团队,全面开展介入诊疗,包括冠状动脉造影术、经皮冠状动脉腔内成形术、经皮冠状动脉内支架植入术、经皮冠状动脉内溶栓术、经皮主动脉气囊反博动术(IABP)等介入诊疗技术。医院引进先进的飞利浦UNIQ平板大型C臂数字化减影血管造影机(DSA),具有独特的数字减影功能和快速曝光采集、旋转采集、冠脉支架精显等优点;图像分辨率高,尤其微血管的显示更加清晰;辐射减少,对患者更安全;在血管介入或手术治疗前更加明确血管病变和周围的解剖关系,有效保障介入手术更安全、更快捷、更准确完成。
服务热线:0311-89892577 0311-89892580