在门诊工作中,常有家长带孩子来看牙列不齐,经常有家长问,我们夫妻两人牙齿都很整齐,怎么孩子的牙会这样呢?
牙列不齐的确有遗传因素,但也与后天因素有关。在后天因素中,口腔不良习惯是导致错合畸形重要因素之一。乳牙期、替牙期和恒牙早期阶段的孩子,自律性差,不知不觉中可能形成很多不良习惯,如吮指、乱舔舌头、咬嘴唇、偏侧咀嚼、睡前吃糖、乱剔牙等,这些不良习惯会对孩子的牙齿及口腔健康造成极大的损伤。

吮指习惯:大多数婴儿在两三个月时都有吮指习惯,随年龄增长,大部分在两岁前能逐渐放弃,如持续发展,将对面部发育有不良影响。吮拇指可使牙弓狭窄,上颌前突、下颌后缩,开颌等。

咬下唇习惯正、侧面观
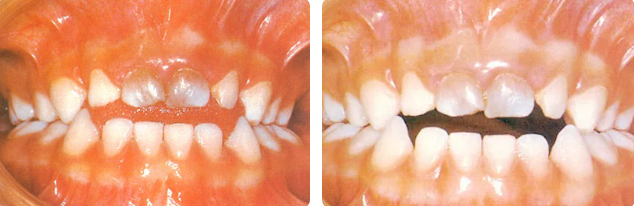
咬唇习惯:长时间反复咬上嘴唇或下嘴唇,会出现不同的错颌。
咬下唇:把下唇咬在上下前牙之间,结果在下唇肌作用下,上前牙向前倾斜,并可能出现间隙,形成上牙弓前突和下颌后缩。由于前突的上前牙妨碍上唇的正常发育,造成上唇短缩,开唇露齿。
咬上唇:通常患者下颌向前把上唇咬在下前牙和上前牙之间,上唇肌压迫上前牙,使其向内倾斜出现拥挤,同时使下前牙向前倾斜出现间隙,甚至形成前牙反颌或下颌前突。

正确的哺乳姿势
奶瓶喂养:我们提倡母乳喂养,喂养的姿势是约45度的斜卧位或半卧位。正确的喂养姿势和足够的喂养时间(每次约半小时),是婴儿正常吮吸的保障。切忌平躺着喂奶和直立着奶瓶,这样会令宝宝被迫下巴前伸和偏斜。

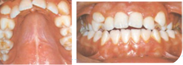
口呼吸习惯后的面部及牙列改变

口呼吸习惯:口呼吸是发生在青少年甚至婴幼儿时期比较常见的一种不良呼吸习惯,主要表现是睡觉时张口呼吸,这样会导致面型变长、变窄,下巴后缩上腭高拱,最终会引起牙齿排列不整齐。

吐舌习惯造成牙列改变
吐舌习惯:儿童好奇心强,喜欢用舌尖舔松动的乳牙或初萌的恒牙,常形成吐舌习惯,如果儿童正处于乳牙恒牙的替换期,经常把舌伸至上下前牙之间,使前牙咬合不上,严重者会影响上下颌骨的正常发育。
偏侧咀嚼习惯:多因一侧有龋齿或其他疾病致长期使用健侧咀嚼,长期偏侧咀嚼使健侧面部丰满而废用侧萎缩,形成面部不对称,偏侧的后牙形成对颌甚至反颌,废用侧形成深覆颌,废用侧牙齿易堆积牙垢,从而继发龋坏和其他牙周疾病。
家长要及时发现孩子的不良习惯,耐心温柔地讲道理,不能采用责备或吓唬打骂的方法,争取早期阻断不良习惯的发生。也可以定期接受口腔检查,听取医生专业的意见和建议。
专家简介:
卢小妹 河北省第八人民医院(河北省老年病医院)口腔科主任、主任医师,致力于口腔临床工作30余年,对龋病、牙髓炎、根尖周病有深入的研究;对大面积缺损的牙体进行嵌体、桩核冠、全冠修复治疗,对牙列缺损可进行固定、活动和种植修复,经验丰富。
河北省第八人民医院(河北省老年病医院)口腔科成立于1984年,经过30多年的努力,科室有了长足的发展,已成为设备先进、技术力量雄厚、分科齐全的重要临床科室。门诊有近200平方米的就诊环境、有8台大型综合治疗机,数码牙科X射线机(IntraOS 70),高频电刀(Servotome)、口腔锥形束CT(CBCT)、根管治疗机、进口无痛超声牙周治疗仪、冷光美白仪、以及完善的进口超声清洗、高温高压消毒设备。集治疗,修复,美容及牙齿保健于一体。让患者在舒适中轻松治愈牙齿疾病,让灿烂的笑容再次绽放。
让患者拥有美丽的牙齿和健康的口腔,是我们奋斗的目标,让美丽与健康与您永相伴!
健康热线:0311-89892631
病例图片转自网络