缺少牙齿,对于老年人来说,影响的不仅仅是美观和说话“漏风”,还有可能引发一系列健康问题。因此,当老人牙齿出现异常时,就应马上采取行动,及时到医院进行检查、治疗。
可是,老年人牙齿随着年龄增长会出现增龄性变化,治疗远比年轻人复杂得多。而且,老年人舌体的非自主运动较多,张口时间短,沟通理解比较困难,配合度差,所以,对医生的技术水平要求也比较高。
河北省第八人民医院(河北省老年病医院)口腔科医务人员常年与老年患者打交道,医师团队拥有娴熟的治疗技术、认真的工作态度,再加上善解人意的沟通方式,深受老年朋友的信任与喜爱。

河北省第八人民医院(河北省老年病医院)是河北省唯一一家以老年病治疗为特色的省级综合性医院,集老年病医疗、教学、科研、康复、预防、保健于一体。口腔科成立于1984年,经过近40年的努力,已成为技术力量雄厚、分科齐全、设备先进,集治疗、修复、牙种植、美容及牙齿保健于一体的重要临床科室。

口腔科医师团队具有丰富的临床经验,多名医师先后在日本松本齿科大学、北京大学口腔医院、天津市口腔医院、河北医科大学口腔医院以及河北医科大学第三医院等知名大学、医院学习深造。
科主任卢小妹毕业于河北医科大学口腔医学专业,是名副其实的“学院派”。她致力于口腔临床工作30余年,对龋病、牙髓炎、根尖周病有深入的研究。同时,对大面积缺损的牙体进行嵌体、桩核冠、全冠修复治疗及牙列缺损可进行固定、活动和种植修复,经验丰富。
工作中,卢小妹要求全科医务人员用规范的诊疗流程和严谨的操作技术对待每一位患者,认真检查,精心治疗。由于医院老年患者较多,她要求科室医护人员要熟练掌握有效的表达方式,与患者进行良好沟通,了解掌握患者心理状态,建立良好的信任关系。
治疗特色:

根管治疗 采用现代根管治疗技术,扩大了牙髓病及根尖周病的治疗范围,提高治愈率。先进的根管马达、根管预备及热牙胶根管充填技术,使根管治疗过程更加精细化。
此外,开展各种牙体严重缺损的保存治疗、顽固性根尖周炎治疗,有效延长了自体牙的使用时间,大大减轻了患者的痛苦。

左:治疗前 右:树脂充填后
光固化树脂美容修复 满足不同患者的美观需求,价位合理、品牌多样、色泽齐全,方便患者自主选择。

上左:全瓷冠 上右:金属冠
下左:全口义齿 下右:活动义齿

左:瓷贴面前 右:瓷贴面后

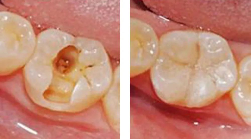
左:嵌体治疗前 右:嵌体治疗后
修复技术 开展烤瓷铸造修复技术近30年,修复种类齐全。开展普通金属烤瓷冠、贵金属烤瓷冠、全瓷冠、瓷贴面以及各种铸造、全瓷嵌体和高嵌体的修复,对老年人颌关系异常等疑难病的活动固定联合修复有丰富的临床经验。

牙周治疗前、后
开展牙周治疗 进口牙周治疗仪+专业医师团队,以娴熟技术为保障,有效提高牙周病松动牙的保存率。
先进设备

左:口腔锥形束CT(CBCT)
右上:加酶清洗机
右下:高温高压消毒及消毒物品塑封机
口腔科门诊有近200平方米的就诊环境,有8台大型综合治疗机、口腔锥形束CT(CBCT)、数码牙科X射线机、高频电刀、根管治疗机、进口无痛超声牙周治疗仪、种植机、冷光美白仪以及完善的进口清洗、高温高压消毒设备。
口腔锥形束CT(CBCT)可应用于口腔颌面部的牙种植、埋伏阻生牙定位、牙体牙髓和牙周疾病显示、颌骨和颞下颌关节疾病的诊断、颌面部发育异常测量与治疗前后的对比评估等。
遵循口腔科消毒灭菌国际标准的进口加酶清洗机、高温高压消毒机、配备齐全的一次性检查及诊疗器械、进行空气消毒的紫外线灯及完善的新风系统,保证了院感制度的严格执行,杜绝了交叉感染。
口腔科树立以患者为中心服务理念,创“一流环境、一流管理、一流治疗”品牌,在注重医学技术精益求精的同时,更注重在医疗服务中充分体现人文关怀,让患者在舒适中轻松治愈牙齿疾病,让灿烂的笑容再次绽放。
健康热线:0311-89892631
科室地址:石家庄市青园街241号(东风东路与青园街交叉口东行50米路南)一楼